Son yıllarda artan kolalı içecek tüketimi, sağlığımız üzerinde ciddi tehditler oluşturuyor. Uzmanlar, özellikle gençler arasında yaygın olan bu alışkanlığın obezite, diyabet ve diş sağlığı problemleri gibi pek çok sağlık sorununa yol açabileceği konusunda uyarıyor.
Reyhan ÖZBAKIR / HERKES DUYSUN
BURSA (İGFA) – Bir kutu kolanın, ortalama 30 gram şeker içerdiğini belirten uzmanlar, bu miktarın bir yetişkinin günlük önerilen şeker alımının neredeyse tamamını karşıladığını belirtiyor. Aşırı şeker tüketiminin insülin direncini artırarak diyabet riskini yükselttiği ve kalp sağlığına zarar verdiği ifade ediliyor.
Uzmanlar, kolalı içeceklerin düzenli tüketiminin vücut kitle indeksini artırarak obeziteye yol açtığını da kaydederken obezitenin yalnızca fiziksel sağlığı etkilemekle kalmadığını, aynı zamanda psikolojik sorunlara ve yaşam kalitesinin düşmesine de neden olduğunu belirtiyor.
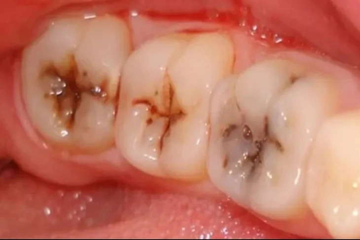
Kolanın en çok dişlere zarar verdiğinin de altını çizen uzmanlar, “Kola ve diğer asidik içecekler, diş minesine zarar vererek çürümelere yol açar. Ayrıca Gençler arasında daha çok tüketilen kolanın geç yaşta diş ömrünü azaltır.” diyor.
